top of page

見栄えの悪いかぶせもの

  • yanasesikaiin
  • 2016年6月1日
  • 読了時間: 1分

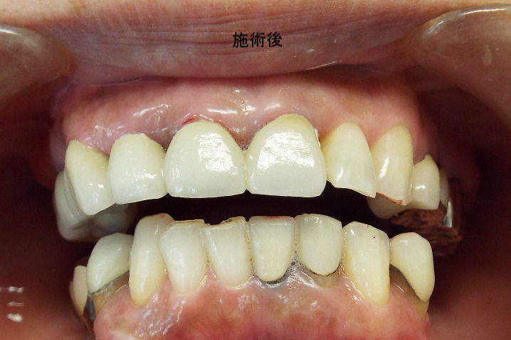
20年前にかぶせた前歯ですが歯肉との隙間や中心もずれてしまっていました。そこで、セラミックの被せ物で入れ替えし見栄えの改善を行いました。


 
 
 

コメント


​やなせ歯科医院

Yanase Dental Clinic

〒 366-0041

埼玉県深谷市東方1701-1

​受付・お問い合わせ

評判の歯医者,人気の歯医者

診療時間

月曜日~土曜日

AM9:30~12:30

PM2:30~ 7:30

虫歯・急な痛みに

新患・急患随時受付

一般歯科・小児歯科

​審美歯科・ホワイトニング

​インプラント・歯周病

​訪問診療

土曜日は5:00まで

平日お休みなし

休診日 日・祝祭日

<受付け・終了時間30分前>

交通案内

深谷駅より車で10分

JR高崎線 深谷駅下車

​籠原駅より車で10分

bottom of page